Dr. Brückner Zahnarzt Schorndorf

Prophylaxe

Vorsorgen statt reparieren – für dauerhaft gesunde Zähne und frischen Atem.

Vorsorge

Die regelmäßige Vorsorgeuntersuchung ist ein wesentlicher Bestandteil moderner Zahnmedizin. Sie hilft, Erkrankungen wie Karies oder Parodontitis frühzeitig zu erkennen – oft noch bevor Beschwerden spürbar sind. So können wir frühzeitig handeln und größere Eingriffe vermeiden.

Bei jeder Kontrolle prüfen wir sorgfältig den Zustand Ihrer Zähne, des Zahnfleisches und der Mundschleimhaut. Zusätzlich beraten wir Sie individuell zur Mundhygiene, Ernährung oder Fluoridnutzung. Gerade bei Risikopatienten wie Diabetikern oder Schwangeren spielt die zahnärztliche Vorsorge eine besondere Rolle. Unser Ziel ist es, Ihre Zahngesundheit langfristig zu sichern – mit minimalem Aufwand und maximalem Nutzen für Sie und Ihre Kinder.

Professionelle Zahnreinigung

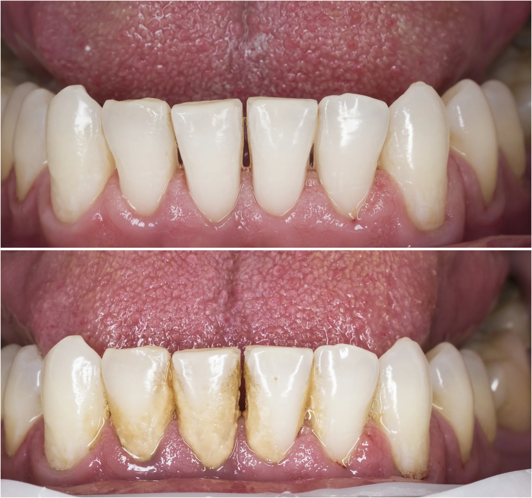
Selbst bei gründlicher Zahnpflege lassen sich nicht alle Beläge entfernen – vor allem in den Zahnzwischenräumen oder am Zahnfleischrand. Hier setzt die professionelle Zahnreinigung an: Sie entfernt gezielt bakterielle Beläge, Zahnstein und Verfärbungen.

Nach einer gründlichen Reinigung polieren wir die Zahnoberflächen und tragen ein schützendes Fluoridgel auf. Dadurch werden Ihre Zähne nicht nur sauber, sondern auch widerstandsfähiger gegen neue Beläge. Das Ergebnis: ein frisches Mundgefühl, sichtbar glattere Zähne und ein wirksamer Schutz vor Karies und Parodontitis. Regelmäßig durchgeführt ist die professionelle Zahnreinigung ein wichtiger Baustein für gesunde Zähne bis ins hohe Alter.

Häufig gestellte Fragen

Wie oft muss ich zur Kontrolle?

Wir empfehlen zwei Kontrolltermine im Jahr, um Erkrankungen frühzeitig zu erkennen. Bei erhöhtem Risiko – etwa in der Schwangerschaft oder bei Parodontitis – kann ein kürzerer Abstand sinnvoll sein. Wir beraten Sie gerne individuell dazu.

Warum ist Zahnstein gefährlich?

Zahnstein bietet Bakterien eine ideale Oberfläche. Bleibt er länger bestehen, kann er Entzündungen des Zahnfleischs oder sogar Parodontitis auslösen. Die professionelle Zahnreinigung entfernt ihn zuverlässig und schützt Ihre Zähne langfristig.

Was bringt die Zahnreinigung?

Sie ergänzt Ihre eigene Zahnpflege und erreicht auch schwer zugängliche Stellen. Beläge, Zahnstein und Verfärbungen werden entfernt. Das schützt vor Karies und Zahnfleischproblemen – und sorgt für ein sauberes, frisches Gefühl im Mund.